Sometime in early March, teenage mom-to-be Kioja is expected to deliver her first baby at the Calgary Zoo.
But the 14-year-old Western lowland gorilla has had little exposure to motherhood. She was born at the Bronx Zoo in 2001 and moved in 2009 to Calgary, which hasn’t had a gorilla birth since 2008. That’s why zookeepers are working with her to prepare for the birth.
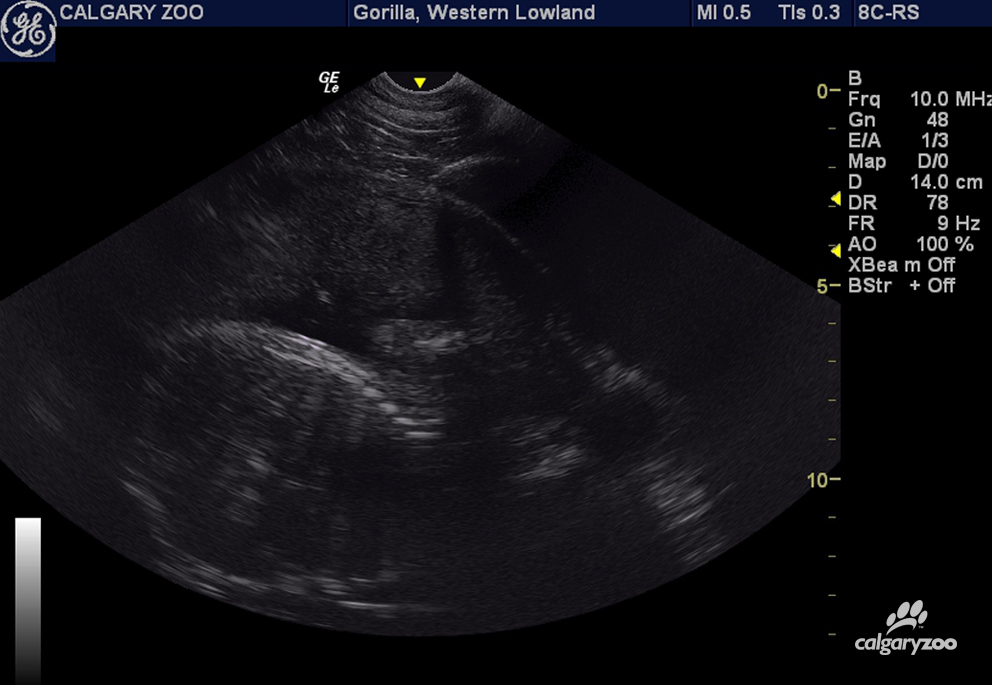
There are regular ultrasounds. There are behavioural checks. And, Kioja has been introduced to a doll-baby to get her used to the idea of being a mother.
“We are excited for this new addition to our gorilla troop as a baby is the best enrichment for the group,” Dr. Malu Celli, a curator at the zoo, said in a statement Tuesday. “In the wild, gorillas are critically endangered and by adding another member to our troop we are continuing to ensure there is genetic diversity within captive populations and safeguard the long-term future of this species.”
That last gorilla born at the zoo, Yewande, is still with the five-member troop. The others include the troop leader, a 37-year-old silverback named Kakinga, who is the father of the Kioja’s baby, and who has sired nine other offspring at the zoo since 1993.
Western lowland gorillas are under siege from hunting, disease and habitat destruction, and are currently listed as critically endangered by the World Conservation Union.
Photos Calgary Zoo/Facebook




